Smile Gallery
Do you want to see real patient results from Dr. Benton and Nelson Family and Sedation Dentistry? We invite you check out our Before and After photos of dental work completed by our expert dental team. If you like what you see and want to schedule your next dental appointment, give us a phone call today!


This patient presented with stains on their front teeth. Dr. Nelson used composite resin tooth-colored fillings to restore the chipped and stained teeth.
We can typically complete this straightforward and non-invasive procedure during one visit.
Learn More About Cosmetic Dentistry in Winston-Salem, NC
If you'd like to learn more about the possibilities of enhancing your smile, contact our team at (336) 760-1277 to book an evaluation with Dr. Nelson.


When tooth size discrepancies are diminishing your smile, we can help!
Dr. Nelson used tooth-colored fillings to build up undersized front teeth (the lateral incisors) and create a more symmetrical smile for this patient.
Would You Like to Enhance Your Smile?
If you'd like more information about dental fillings in Winston-Salem or other cosmetic procedures for your smile, book an evaluation with Dr. Nelson to learn more.


If you want to repair acid erosion or remove stains from your teeth, consider composite veneers in Winston-Salem. Composite resin is an alternative to porcelain and can be artfully shaped and shaded by our dental team to correct worn, chipped, discolored, or damaged teeth.
After sculpting the composite resin directly onto your teeth, we use a special light to harden the material before polishing it to blend with your natural teeth.
Affordable Cosmetic Dentistry in Winston-Salem
You can enjoy a more beautiful smile in just one visit to our dental office.


We use porcelain dental crowns in Winston-Salem for a variety of reasons. We can customize a crown to completely cover your tooth and improve the look of your smile. Dental crowns can cover stains or discoloration, as well as close gaps or spaces between your teeth. If your teeth need to be reshaped or resized, we can use dental crowns to give you a more seamless look. Your new dental crown can be shaded to match your other teeth so that only you and your dentist in Winston-Salem will know the difference.
Natural, Beautiful Dentistry in Winston-Salem
In these pictures, ...


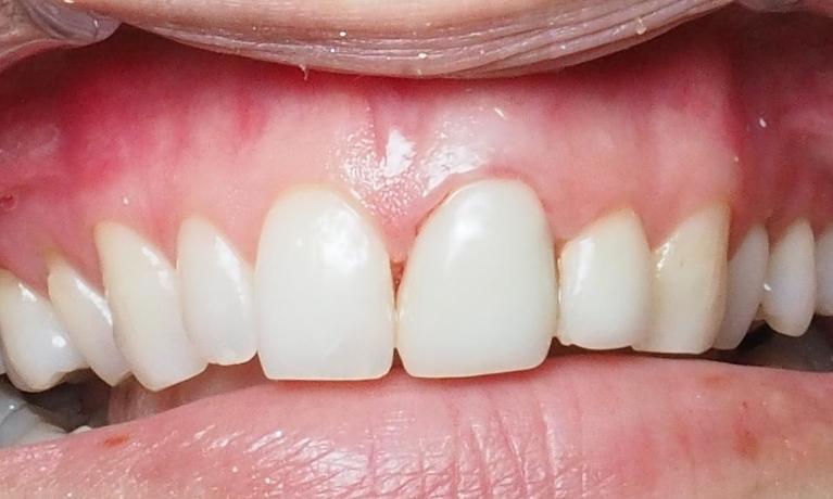
This patient presented with a front tooth that was internally discolored. This discoloration often can't be eliminated with professional teeth whitening, so Dr. Nelson recommended a customized porcelain crown to restore it.
The new crown was expertly shaded to blend flawlessly with the patient's smile, and now they can smile with confidence again.
Contact Our Team to Learn More about Dental Crowns in Winston-Salem
You can speak with our team by calling (336) 760-1277 to learn more about dental crowns and other cosmetic treatments for your smile.


This patient presented with a missing front tooth that Dr. Nelson replaced with a reliable dental implant.
A dental implant protects your smile and dental health by replacing your tooth and root. Replacing a root protects the health of your jawbone from the deterioration that occurs with tooth loss. Restoring your tooth keeps neighboring teeth from moving and shifting, creating bite misalignment.
Dr. Nelson customizes your implant crown to blend seamlessly with your smile.
Would You Like to Learn About Dental Implants in Winston-Salem?
We would love to talk with you if you're considering tooth implants to restore your smile! Book an evaluation with ...


Front tooth dental implants can permanently replace missing teeth! This patient chose to have a dental implant and bone graft to replace her missing front tooth, which she lost in a car accident in childhood.


This patient was unhappy with their smile and oral health profile. So, our Winston-Salem dentist presented all the options, and the patient decided on complete dentures. Now, this patient can smile with confidence again!
Our dental office is pleased to offer quality dentures and partials (emphasizing fit, function, and aesthetics) to help our patients rediscover their smiles.
Denture options include:
- Complete dentures
- Partial dentures
- Implant-supported dentures
Are You Considering Dentures in Winston-Salem, NC?
To learn more about our tooth replacement options, including custom dentures, contact a friendly dental team member today to schedule a consultation with the dentist.


This patient’s smile was transformed in only one hour with composite veneers in Winston-Salem. We can cosmetically correct cracks, chips, discoloration, or damage with a composite resin material to give your teeth a more desirable look.
Natural-Looking Dentistry
Our dental team can match the shade of your natural teeth before artistically shaping composite resin directly onto your teeth. Your improved smile will look completely natural, and you’ll once again look forward to going out with friends and smiling in pictures.


Dental crowns can last for many years, but eventually, they may need replacing. Some patients replace crowns when they become damaged. Other times, if crowns are discolored or damaged, our Winston-Salem dentist can consult with you about changing your crowns for more aesthetically pleasing restorations.
In this case, the patient was unhappy with their old, stained dental crowns and wanted durable replacement restorations.
Dental Crowns in Winston-Salem, NC
Whether you need a new crown to protect a damaged tooth or to conceal an imperfection, we are here for you. Contact us today to schedule a consultation.


Failing teeth were removed under sedation and this lovely patient left that day with new teeth!


This patient was not happy with her old dentures and asked us to fabricate new ones for her to give her a natural smile and better chewing ability.


Single Crown – Before & After
This patient had a damaged front tooth that affected both appearance and function. With a custom-crafted crown, we restored the tooth’s shape, strength, and natural color. The result is a seamless, confident smile that blends perfectly with the surrounding teeth.


This patient lost a front tooth due to previous trauma and received a beautiful dental implant made by our local dental lab.
I had a new crown go bad and I needed to have an urgent second opinion.Dr Nelson had the perfect balance of caring and decisiveness to help resolve this!
I was very impressed and would not hesitate to recommend him. His staff was also amazing!!
Thank you!!
- Tonya Couch